
ایمپلنت چیست؟ مزایا و معایب ایمپلنت دندان بلافاصله بعد از کشیدن دندان
«دندونمو کشیدم، دکتر گفت همون روز ایمپلنت بذارم که زودتر خلاص شم… اولش خیلی وسوسه کننده بود. بدون دندون نمونم،

علت ورم صورت بعد از عصب کشی دندان + راه حل درمان
دانا همیشه از دندانپزشکی می ترسید. تا اینکه چند روز پیش مجبور شد برای درد شدید یک دندانش، عصب کشی

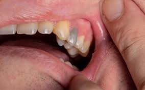
علت سیاه شدن ریشه دندان چیست؟
تیام، مثل هر آدم معمولی، همیشه به لبخندش افتخار می کرد. یکی دو هفته پیش، موقع خندیدن جلوی آینه، چیزی

اگر پانسمان دندان عصب کشی شده افتاد چه کنیم؟
یه روز جمعه بود، هدیه داشت صبحانه میل می کرد، که احساس کرد یه چیزی داخل دهنش لق می زنه…!

ایا عفونت ریشه دندان خطرناک است؟
حمید، ۳۵ ساله، چند هفته ای بود که دندان آسیای فکش گاهی تیر می کشید. نه اونقدر دردناک که سریع

ایمپلنت بدون جراحی چگونه است؟
داستان هدیه و سوالی که همه مون داشتیم… حدود چند هفته پیش یه دوست قدیمی ام، هدیه، با یه دلِ پر از

سفید کردن کامپوزیت دندان | چگونه کامپوزیت دندان را سفید کنیم؟
احمد ۶۵ ساله تو صف نانوایی بود که ناگهان جلوی ویترین یه کافی شاپ یه آشنا با لبخند درخشان و

لمینت سرامیکی دندان مناسب چه کسانی نیست؟ هشدارها و خطرات آن
حسین 54 سالشه. همیشه به ظاهر و لبخندش اهمیت میداد، اما چند ماه پیش وقتی توی آینه نگاه کرد یه

ایا روی روکش دندان میشه کامپوزیت کرد؟
یاسمن 24 سالشه و چند روز پیش بعد از یه مهمونی، با دوستاش داشتن عکس میگرفتن. وسط عکس لبخند زد،